본인글만 수정/삭제 할 수 있습니다.
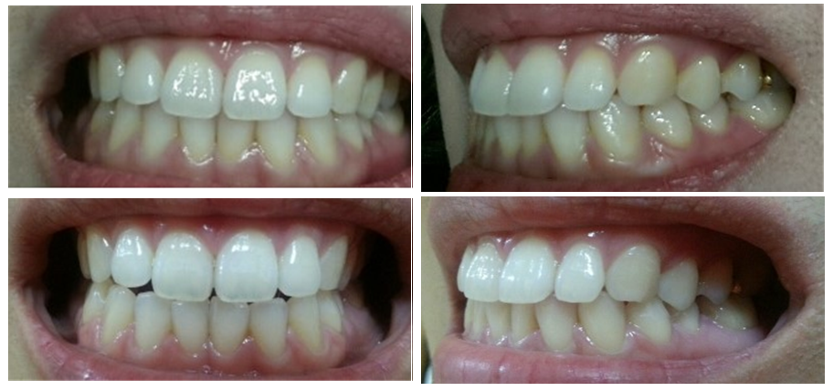
2015년 11월 18일부터 파인프라 치약 쓰기 시작해서 지금까지 딱 한번 타제품으로 가글한적 있고 그외에는 오로지 파인프라 치약만 사용했어요. 지난번에도 후기 남긴적이 있는데 이가 많이 누런편이었거든요. 사람 많은데서 웃거나 말하는것도 좀 신경쓰일 정도였어요. 그런데 지금은 이때문에 스트레스 받거나 신경쓰는 일이 전-혀 없습니다. 완전히 백옥처럼 하얀건 아니지만 앞니는 정말 깨끗한 정도구요. 송곳니는 대부분의 사람들이 그렇듯이 앞니보다는 조금 덜 하얗긴해요. 사진으로 보면 확실히 느낌이 오실것 같아서 도움되시라고 전, 후 사진도 올립니다. 근데 위에있는 사용전 사진은 사실 완전히 사용전 사진은 아니고. 11월 25일에 찍은거예요. 그러니까 치약 쓴지 일주일 정도 된 후죠. 그때는 진짜 이가 깨끗해질거라는 생각을 못했기 때문에 사용전 사진을 찍어야겠다고 생각못했는데 일주일 지났는데도 차도가 보이더라구요. 그래서 그때라도 사진을 남기자!해서 찍은거예요. 실제 사용전은 이것보다는 조금더-_-;; 누랬어요;; ㅎㅎ 사용후 사진은 어제 찍은거니까 1년하고 1달 정도의 차이가 있는거네요. 사진은 휴대폰카메라로 찍은거고, 그림판으로 옮겨붙인것밖에 없어요. 포토샵 전-혀 없습니다. 할줄도 모르구요. ㅎㅎ예전에 어떤 미백치료제 후기들 보니까 사용후 사진을 포토샵으로 채도를 낮춰서 올렸는지 잇몸이 회색으로 보이더라구요 ㅋㅋㅋㅋㅋ전 정말 리얼입니다. 치과에서 하는 미백치료들 굉장히 비싸기도 하거니와 이에 안좋은 영향을 준다고 들었거든요. 하루 서너번 양치만 해서 하얀이를 가질수있다면 정말 해볼만한것같아요!!인내심만 있다면요 ㅎㅎ예전에는 항상 이닦고 나서 이표면이 거끌거리고 뭔가 덮여있는 느낌이 들었는데 요즘은 그런게 전-혀 없어요. 물론 대충대충 이닦은 날은 좀 그렇긴 해요 ㅋㅋ 암튼, 다른효과도 물론 좋지만, 전 미백효과를 제대로 봐서 주변사람들한테 강추!!하고있어요~^^파인프라 감사해요~진심으로!!

!
| 이전글 | 이가시려요 |
|---|---|
| 다음글 | 내인생치약, 파인프라 |