회원 구매 시 3% 적립
친구 추천시 5,000원 지급
25,000원 이상 구매 시 무료배송

사용후기

본인글만 수정/삭제 할 수 있습니다.

이상하다~? 파인프라치약을 계속 사용하고 있는데 잇몸이 아프네...

김** 2015-07-24 15:55:50 조회 1,031

  결론부터 말씀드리면 개인적으로 파인프라치약과 왕소금이 만날 때 효과 짱입니다

NDE2MDA0MTQzNzcyMDkxNQ==.PNG

저는 처음 치약사용후기를 보고 믿음이 가서 치약을 사용하게 되었습니다. 그리고 사용해보니 확실히 다른 치약들보다 좋다는것을 느끼고 가족과 주변에 이 때문에 고생하시는 분들께 권유해드리기도 했습니다.

 

그런데 저뿐만아니라 남편, 지인들이 그 치약을 사용중인데도 잇몸이 아프다고 말씀들을 하셨습니다.

그래서 칫솔에 의심이가서 칫솔모 부분을 진한 왕소금물에 담그어놓고 사용해보니 3일후 부터 잇몸통증이 사라졌습니다. 지인들도 이젠 괜찮아졌다고들  말씀하십니다.

 

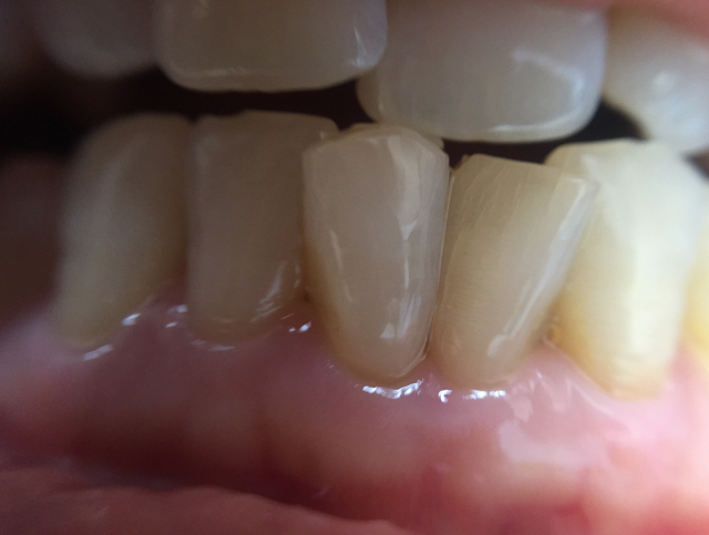
1년전만 해도 저는 치석때문에 잇몸이 많이 내려앉았었습니다. 특히 앞니 뒤쪽에 치석이 많아서인지 앞니쪽이 많이 내려앉았었습니다. 그래서 내려앉은 부분에 무언가 땜질(?)이라도 할까하고 칫과에 갔다가 안해주셔서 치석제거만 하고와서 계속 파인프라치약을 사용하고 있는중입니다. 얼마전 카메라렌즈를 구입하여 연습삼아 여기저기 사진 찍다가 잇몸도 찍어보았는데 가만히 보니 잇몸이 언제 그랬냐는듯 제대로 올라와있는거예요!  (현재 나이 50세 넘었습니다)

 

저는 솔직히 아침, 저녁 두번양치질하고 점심양치는  생략하거든요

그럼에도 치석제거가 되고 잇몸이 건강해진것 같아 참 좋습니다.

치석제거가 되니 잇몸이 자연스럽게 회복되는것 같습니다. 

첨부해올린 사진보셔요. 점심식사후 양치도 안하고 촬영한 사진인데 이가 반들반들 하쥬?  잇몸도 탱글탱글하고.

 

결론은 파인프라치약 뿐만아니라 다른 제품들도 욕심납니다. 사업이 번창하실겁니다.^^